지난 2개월 반 동안 나에게 일어난 일들에 대한
현실감도 떨어지고 부정하고 싶고
그냥 모든 게 다 힘들었다...
그리고 요즘은 감정 조절이 잘 되지 않는다..
갑자기 가슴이 답답해서 죽을 것 같고
후회와 미안함과 여러 가지 감정들이 섞인다..
이번 일을 겪으면서 마음속에 계속 맴도는
아쉬움과 의문들이 있다..
의학적으로 옳고 그름을 따지기보다는,
당시 내가 느낀 혼란과
부족했던 병원의 대응에 대한 기록이다.
<지난 기록>
1. 24주 5일 자궁 수축으로 입원
2. 지속적인 자궁 수축과 양수 염증으로 퇴원 미정
3. 26주 5일 맥수술 후 양막 파수
4. 26주 6일 의료진 경과 설명 없이 전원
5. 26주 6일 대학병원 전원 응급제왕
<의문점>
1. 전원 시기
양수 염증이 발견되어 대학병원으로 옮기는 게
더 낫지 않을까 하는 생각을 했지만
“전원해도 치료는 똑같고, 필요시 전원 결정”이라는
답변을 듣고 보류하였다..
2. 맥도날드 수술 권유
자궁 수축이 계속되는 상황에서
갑자기 맥도날드 수술을 권유받았다.
대학병원에서는 24주 이후는 잘 권하지 않는다는데,
이 병원은 28주까지 가능하다며 진행을 권했다.
위험성에 대한 충분한 설명보다는
“아기를 위해서라면 해야 하지 않겠냐”는
뉘앙스가 더 크게 다가왔다..
3. 수술 직후 관리
수술 후 양수가 흐르는 것 같은 느낌이 여러 번 있었지만,
처음엔 양수가 아니라고 넘어갔고,
나중에는 양막 파수가 맞지만 지켜보자고 하였다.
다음 날 대학병원에 도착했을 때는
이미 양수가 거의 없는 상태였다는 걸 알게 되었고
응급으로 수술하여 출산하였다..
4. 거즈 삽입
맥수술 수술 부위가 불편했는데,
나중에 대학병원에서 “왜 이렇게 거즈를 많이 넣었냐”는
이야기를 들었다.
그때서야 내가 양수가 흐르는 느낌이 난다고 해도
남편과 간호사 선생님들은
패드에는 흐른 게 없었다고 했던 게 떠올랐다..
5. 응급 전원 과정
아기 심박수가 잘 뛰고 있다고 안심을 시켜준 직후,
갑자기 “응급 전원”을 권유받고
사설 응급차 명함을 건네받았다.
제대로 된 설명도 없이 급히 짐을 싸서 옮겨야 했던
그 순간이 지금도 이해되지 않는다.
이 다섯 가지는 지금까지도
내 마음속에서 정리가 잘 되지 않는다.
아마 시간이 지나도 완전히 지워지진 않겠지만,
적어도 이렇게 글로 적어두면 내 감정을 정리하는 데
조금은 도움이 될 것 같다.

임신 기간 동안 주수 기록을 못해서
24주부터 뒤늦게 시작!...이었는데
이게 처음이자 마지막 사진이 될 줄은 몰랐다..
24주 3일에 배가 좀 나왔었지..!

평소처럼 저녁때 엄마집에서 저녁 먹고
먹을 거 잔뜩 받아서 집에 옴..!
낮부터 배가 살살 아팠는데
화장실에 가고 싶은 신호인 줄 알고
시원하게 볼일 보고 참았다!~

24주 4일 차...
남편은 출장을 가서 혼자 자다가
새벽 내내 배가 규칙적으로 아파서
심각성을 느끼고 다음날 병원을 갔다..!
주치의 선생님이 휴진일이어서
급하게 다른 선생님께 진료를 봤다..ㅠ
자궁 수축이 있고, 이전보다 자궁 경부 길이가 짧아져서
바로 입원하라고 하셨다..
오잉...? 입원이라니... 이게 무슨...
남편도 지방에서 오는 중이라 엄마한테 전화했다..ㅠ
아파서도 눈물이 나고 놀라서도 눈물이 났다..
엄마가 오기 전 병실로 가서 설명 듣고
옷 갈아입고 수액 라인 잡고...
어렸을 때 이후로 입원은 처음이야..
병원 밥도 오랜만...ㅠㅠ

엄마랑 입원 절차대로 진행하고 병실에 있으니
남편이 지방에서 급하게 올라왔다!~
엄마도 남편도 나도 다 놀랜 상태..
그래도 남편이 오니까 마음이 안심되고
장난치는 남편 모습에 웃음도 났다..ㅎㅎ
남편은 키도 큰데 보호자 침대 너무 작아...

라보파라는 자궁 수축 억제제를 맞으며
자궁 수축이 줄어들길 기다렸다!~
주사 맞기 전에는 수축도 계속 있고 아팠는데
약 효과가 있는지 금방 괜찮아졌다~





나의 입원 생활이 짧을 줄 알고
처음에는 먹는 것도 열심히 찍었다..
입맛이 없어서 그런지
병원 밥이 잘 안 들어갔다..
그래도 영양 계산된 식단이니 먹으려고 노력했다!~

남편도 입원이 짧을 줄 알고
얇은 담요를 가져왔는데
나중에는 두꺼운 담요로 가져왔다..ㅎㅎ
보호자 침대는 남편에게 너무 불편해 보여...
남편 모습을 보면 짠하고 미안했다..ㅠ


라보파를 3-4일 정도 맞다가 중단하고
경과를 지켜본 후 자궁 수축이 없으면 퇴원이었는데
자궁 수축이 다시 시작되었다...ㅠ
그때 이후로 밤이면 더 심해지는 수축 때문에
트랙시반이라는 주사를 추가로 맞게 되었다..
주사 효과를 위해 라보파와 겹치치 않게
다른 쪽 팔에 맞게 되었다..ㅠㅠ
트랙시반은 3번의 사이클만 급여로 맞을 수 있고
그 이후로는 비급여여서 금액이 비싸다고 했다..
1번의 사이클이 수액 4팩 정도 되었는데,
2일이면 1사이클이 끝나버렸다..
3사이클 다 맞고 급여로 진행하게 됨...
34주까지는 버텨야 한다는 주치의 선생님의 말씀..
트랙시반을 계속 맞으면 병원비가 얼마야...
생각하니 또 우울감 증폭..ㅠㅠ

하루에 2회씩 처방받은 질정을
아침저녁으로 넣으며 병원 생활에 익숙해짐..

임신 25주 차 6일..
진료 후 집에 갈 수 있다는 이야기를 듣고 싶었는데
경부 길이도 2센티 이하고 양수에 염증이 있다고 했다..
양수 염증..? 슬러지..?
또 처음 듣는 이야기인데..ㅠㅠ
바로 항생제 치료 시작...ㅠㅠ
주치의 선생님은 말씀하지 않으셨지만,
찾아보니 양수 염증이 태아에게 좋지 않았다..
계속 걱정으로 눈물만 흘림..
나의 불안정한 모습을 본 엄마가
주치의 선생님 회진할 때
가까운 대학병원으로 전원 가는 것을 말씀드렸는데,
선생님은 대학병원에 가도 똑같이 치료를 하기 때문에
여기서 지켜보고 나중에 필요하면 소견서 써준다고 하심..
지금 지나고 보니 첫 번째로 후회가 되는 순간..
그냥 그때 대학병원으로 갈걸..
주치의 선생님이 다른 분들에 비해 경력이 적어 보이지만
너무 믿었던 내 탓이 아주 컸어...ㅠㅠ

임신 26주 차 4일 갑자기 맥도날드 수술(맥수술) 상담..
전 날 주치의 선생님이 다른 과장님께 내 상황에 대해
말씀드렸더니 맥수술을 말씀하셨다고 한다..
나는 장기 입원으로 아기를 지켜보려고 마음먹었는데
갑자기 맥수술이라니..?
나는 맥수술이라는 것도 몰랐는데,
그곳이 맥수술로 유명한 병원이었다..
일단 상담만 받아보고 결정해야지 하고 상담받음..
고위험 산모, 자궁 경부 길이 짧아짐, 자궁 수축 치료 중..
대학병원에서는 24주 이상은 맥 수술 권유 안 한다는데,
이 병원은 28주까지 수술 가능이라고 했다..
나는 운 좋게 입원 중이기 때문에
26주의 주수 위험부담이 있는데도
다음 날로 빠르게 날짜 잡아줄 수 있다고 한다..
내 마음은 무섭기도 하고 안 하고 싶은데..
의사 선생님은 약간
맥 수술로 만삭까지 아기 지킬 수 있는데
무섭다고 안 한다고?
엄마가 아기를 위해 그 정도도 못해?
그런 느낌으로 말씀하셨다..ㅠㅠ
자궁 수축도 있는데 수술하는 게 맞냐고 질문했는데
수술 후 자궁 수축이 있을 수도 있고
없을 수도 있다고 했다... 하...
바로 결정 못하고 남편과 한참 대화를 했다..
그래.. 엄마가 아기를 위해 할 수 있는 것은 해야지..!
뱃속에서 더 있을 수만 있다면..!
맥수술 동의서에 사인하는데
양막 파수가 될 수 있다고 했다..
두려웠지만 설마 하는 마음에 사인했다..
이 부분이 내가 두 번째로 후회하는 순간이다..
수술하지 말고 대학병원 갈걸..
다음 날 아침에 이유 모를 두려움이 앞섰다..
수술하는 게 맞나 하는 생각을 계속하다가
울면서 수술을 하러 들어갔다..
상담해 주신 의사 선생님은 휴가 가셔서
수술은 다른 의사 선생님이 해주신다고 했다..
적막이 흐르는 수술실에 옆으로 누워 척추 마취 시작..
깨어 있다가 잠깐 잠들게 마취가 되었는데
중간에 배에 통증이 느껴졌던 게 기억난다..
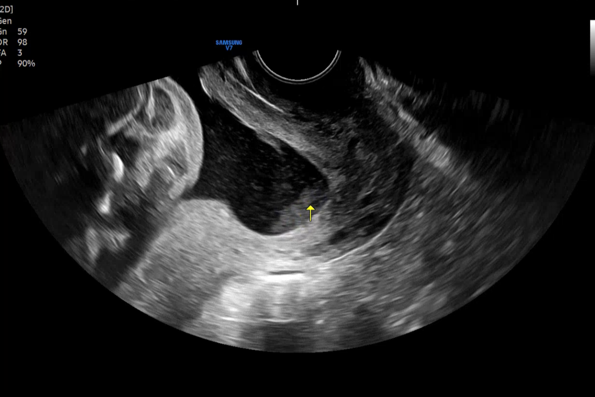
아파요~라고 했던 게 기억나는데 양수 검사였나 싶다..
수술이 끝나고 병실로 이동!
기존에 있던 다인실에서 1인실로 이동했는데
수술 후 컨디션이 괜찮아지고 1인실이 좋네~ 하면서
남편과 엄마랑 스몰 토크 시작~
그러다 남편이 잠깐 집에 다녀온다고 가고
엄마도 잠깐 주차 다시 하러 나간 사이
엄청난 통증이 몰려왔다..
아무도 없는데 핸드폰도 멀리 있고
간호사 선생님 부를 수가 없어..
척추 마취해서 목도 움직이면 안 된다고 하여
어떻게 할 수가 없었다..
하필 병원 전화는 왜 발 쪽에 붙어 있는 거야..
몇 분 동안 발로 어떻게든 전화기를 쳐서
간호사 선생님 호출..
그때부터 패드가 계속 젖는 느낌이 났다..
나는 볼 수가 없으니깐 엄마나 남편이 확인해 줬다..
처음에는 피였던 건지 수술하면 그렇다는 반응이었다..
하지만 나는 점점 통증이 심해지고
뭐가 흐르는 느낌이 나서
또 간호사 선생님 호출을 했다..
어느 간호사 선생님이 양수 같다고
양수인지 확인한다고 하시며 가셨다..
그러다 수술하신 의사 선생님이 병실로 와서
양수는 아니라고 괜찮다고 했다..
나는 또 흐르는 느낌이 났고
이번에도 간호사 선생님들은 양수 같다고 했다…
그러는 동안 내 상태는 더 안 좋아지고
수술하신 의사 선생님 퇴근 시간 바로 전에
진료실로 이동해서 초음파를 보며 경과를 확인하셨다.
의사 선생님의 말을 정리하자면
수술은 잘 되었다.
양수 파수가 된 것 같은데
수술 후 바로 그런 게 아니고
몇 시간 있다가 그런 거라서 수술 때문은 아니다.
양수 검사 결과 양수 감염이 있다.
현재 아기는 괜찮다.
내일까지 지켜보자.
이때 내가 바로 대학병원으로 갔어야 하는데..
세 번째 후회가 되는 순간이다..ㅠ
의사 선생님이 수술은 잘 되었다는 말로
책임 회피하는 느낌..
수술 후 수술 부위에 거즈를 넣었었는데
그때는 그냥 조금 거슬린다? 였고,
마지막 진료 후에는 거즈 때문에
많이 불편하고 움직일 때마다
따갑다는 느낌이 들었다..
(나중에 대학병원으로 전원 갔을 때,
거즈가 왜 이렇게 많이 들어있냐고 하심..
양수가 흐르는 느낌이 날 때
양수가 적게 나왔던 이유일까..?
거즈가 양수를 흡수했을까..?
일부러 양수를 흡수하게 했을까?)
그러고 병실로 다시 이동..
라보파, 트랙시반을 계속 맞는 중에
무슨 수액이 추가되고 총 4개를 동시에 맞았다..
많이 맞으니 통증이 점점 줄어드는 느낌..?
하지만 한 번씩 아래로 뭔가 많이 흐르는 느낌이 나는데
간호사 선생님과 남편은 별로 안 나왔다고 하거나
아무것도 안 나왔다고 했다..
통증은 줄었지만 새벽에도 한 번씩
뭔가 흐르는 느낌이 났다..
중간에 간호사 선생님이 패드 갈아주실 때
거의 안 나왔다고, 괜찮다고 하셨다~
다음 날 아침(26주 6일),
금식이 끝나고 기다리던 죽이 나왔다~
잘 먹을 줄 알았는데 입맛이 없네…
대충 먹고 침대에 기대앉아 남편이랑 쉬고 있는데
태동이 안 느껴지고 배가 아래로 쳐진 느낌..?
간호사 선생님께 뭔가 이상하다고
아기 심박수 체크해 달라고 말씀드려서 했는데
심장 잘 뛴다고 괜찮다고 하셨다~
그리고 몇 분 후 또 다른 간호사 선생님이
남편에게 사설 응급차 명함을 주시더니
빨리 연락해서 전원 가라고 하셨다..
방금 전에는 괜찮다면서요...?
의사 선생님은 한 번도 오시지도 않았고
간호사 선생님들도 별말씀 없으셨는데
갑자기 전원이라니..?
남편과 나는 제대로 된 설명도 듣지 못하고
병원에서 챙겨주는 서류만 받아서
급하게 응급차를 타고 서울에 있는 병원으로 갔다..

서울에 있는 병원에 도착해서 검사를 하니
양수가 거의 없는 상태고
양수가 없기 때문에 아기가 움직일 수 없어서
태동을 느낄 수 없었다고 한다..ㅠㅠ
응급으로 제왕절개를 해야 하는데
금식을 안 해서 바로 할 수 없다고 하셨다..
저 어제 금식하고 오늘 죽 조금만 먹어서
먹은 거 거의 없어요 빨리 수술해 주세요..ㅠㅠ
우리 아기 빨리 살려주세요..!
나는 겁이 많아서 출산에 대한 두려움이 컸는데
그 순간에는 그런 게 중요하지 않았다..
그렇게 26주 6일 차에 1060g 몸무게로
우리 꽁냥이가 태어났다..ㅠ

좋은 교수님들을 만나 잘 출산하고
우리 아기는 바로 인큐베이터로 들어갔다!
지금도 우리 아기는 좋은 교수님과 간호사 선생님들의
엄청난 사랑을 받으며 잘 크고 있다~
그리고 나는 아직도 매일 울고 있다..
너무 일찍 태어난 우리 아기는 열심히 치료받고 있지만,
나는 아기한테 미안하고 또 미안하다..
양수 감염 때문에 힘든 상황도 있기에 더 미안하다..
작은 몸으로 잘 버텨주고 있는데
내가 좀 더 잘 지켜줬으면 좋았을걸 하는 후회로
매일이 괴롭고 미안하고 힘들다..
내가 무슨 자격으로, 뭘 잘했다고,
나 때문에 우리 아기는 지금 힘든 상황인데
무슨 산후조리를 하나 싶은 생각에
내 몸이 아프거나 힘든 티를 내고 싶지 않았다..
실제로는 출산 후 몸이 힘들어 죽겠는데도
아기를 보러 하루도 빠짐없이 면회를 갔고,
지금도 가고 있다..
프리미엄 산후 조리원도 다 취소했다..
아기도 없이 혼자 산후조리원을 가면
더 우울하고 울기만 할 것 같아서 가지 않고
남편과 함께 있으면서 안정을 하려고 했다~
그러다 같이 고생해도 힘든 티를 내지 않는 남편에게
미안하고 남편이 참 짠해 보여 또 울었다..
나 같은 와이프를 만나서 고생하는 남편.. 미안..
그리고 가족들이 같이 고생하는 것도 죄송하고..
아무 준비 없이 출산을 해서 모유 유축 방법도 몰라
육아 중인 친구한테 전화해서 엉엉 울었는데
지금은 열심히 유축해서 아기한테 갖다주고 있다..
그러다 아기를 보고 오면
또 지나간 시간들이 자꾸 생각나 후회와 자책을 하며
나를 괴롭게 한다..
동탄에서 제일 큰 병원이라 선택했던 곳인데,
내 선택이 이렇게 후회가 될 줄은 몰랐다..
큰 병원인데 의료진의 응급상황 대처와 방법은
좋다고 할 수 없을 것 같다..
미리 알았다면.. 더 신중하게 선택했을 것이다..
조산, 이른둥이, 미숙아..
이런 단어들이 마음이 아프지만
이제 나는 우리 아가를 응원해 주고
기다려주는 엄마가 되어야 한다..
그리고 이번 일을 통해 남편과 나는 더 끈끈해졌고
아기를 위해 좋은 엄빠가 되기로 했다!
이쁜 우리 아가야,
잘 자라서 아빠, 엄마 품으로 오자! 사랑해❤️
'꽁냥부부의 육아일기♥' 카테고리의 다른 글
| 이른둥이 지원 후기(하기스/마더케이/더블하트) (0) | 2025.09.23 |
|---|---|
| 임신&출산 기록: 우리 아기를 위한 첫 옷, 손자수 배냇저고리 만들기(이름 자수 팁) (1) | 2025.09.16 |
| 임신기록: 16주~23주(배냇저고리 바느질 태교, 보건소 임산부 지원) (6) | 2025.08.28 |
| 임신기록: 임신 10주~15주(1차 기형아 검사, 입덧지옥) (2) | 2025.08.27 |
| 임신기록: 임신 4주~9주(임신 확인, 입덧 지옥 시작, 입덧약) (1) | 2025.05.10 |
댓글